Call Us Today!
(336) 272-5241
New Patients
(336) 617-2250

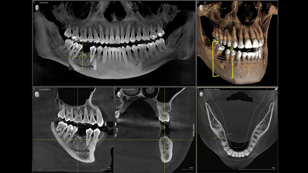
At Pope Family Dentistry we are pleased to offer 3D X-ray technology to our patients. 3D cone beam imaging increases diagnostic accuracy by taking multiple images at different angles of the teeth and jaws. With this advanced technology Dr. Pope can diagnose dental problems at their onset, allowing for early intervention. The process of taking the image only takes around 14 seconds to complete, and the image is available on the computer within minutes. The entire process is comfortable and quick for the patient and the radiation dosage is minimal.




